尽管防粘连生物基膜已取得一定进展,但机械强度不足、依赖有毒溶剂以及降解速度缓慢等问题仍阻碍其临床转化。

基于此,东华大学朱丽萍副研究员与上海交通大学医学院附属上海市第六人民医院刘珅教授合作,提出一种绿色制备策略,以水溶性儿茶酚改性壳聚糖(CS-C)和聚环氧乙烷(PEO)为原料,通过溶液吹纺技术(SBS)制备全生物友好型壳聚糖基纤维膜(CFiMs)。通过优化水 - 乙醇比例和前驱体流变学特性,获得了形貌均一的纤维膜。为进一步增强其性能,引入儿茶酚功能化羟基磷灰石(C-Hap),成功制备出有机 - 无机杂化纤维膜(HFiMs)。得益于良好的界面相容性和协同作用,HFiMs 展现出可调的机械强度(3.21-17.45 MPa)、快速的干 - 凝胶转变能力、可控的生物降解性以及优异的细胞相容性。体外和体内研究证实,该杂化纤维膜能够抑制成纤维细胞活化、减轻炎症反应并阻止成纤维细胞浸润,其核心机制是通过调控 Wnt5a 信号通路抑制肌成纤维细胞分化。本研究建立了一种安全可持续的 SBS 制备平台,用于生产生物友好型 HFiMs,并凸显了其在肌腱防粘连治疗中的应用前景。相关研究成果以“Fully Bio-friendly Hybrid Chitosan Fibrous Membranes for Postoperative Anti-adhesion: Green Fabrication and Comprehensive Performance Evaluation”为题目,发表在期刊《Advanced Fiber Materials》上。

Scheme 1. 具有儿茶酚诱导交联结构和干 - 凝胶转变特性的 CS-C/PEO/C-Hap 杂化纤维膜的制备及其防粘连应用展示。
绿色纺丝条件研究
为减少生物应用中有害有机溶剂带来的不利影响,本研究旨在采用安全且生物友好的水和乙醇作为溶剂,探索通过溶液吹纺技术(SBS)制备高性能壳聚糖基纤维膜(CFiMs)的可行性。水是储量最丰富的天然溶剂,可轻松溶解儿茶酚改性壳聚糖(CS-C),为绿色制备奠定基础;而乙醇挥发性良好,其快速的蒸发速率能显著促进纤维快速固化。因此,本研究采用水 - 乙醇二元混合体系,探究纤维成型的纺丝可行性。
纺丝溶液浓度是影响最终纤维形貌的关键参数。黏度过低无法形成稳定连续的射流,黏度过高则可能导致喷头堵塞。为探究 CS-C/PEO 前驱体溶液的纺丝行为,研究人员以水:乙醇 = 4:6 为溶剂,制备了浓度为 2.0 wt.%、不同 CS-C:PEO 比例(3/7、5/5、7/3)的纺丝溶液。流变学测试(图 1a)显示,溶液均表现出典型的剪切变稀行为,且黏度随 CS-C 含量增加而降低(图 1c,红色曲线)。在 CS-C:PEO=7/3 的固定配比下,对不同浓度溶液的进一步研究表明(图 1b):浓度低于 2 wt.% 时,溶液仍保持剪切变稀特性;浓度高于 2 wt.% 时,黏度随剪切速率变化趋于平稳。总体而言,黏度随浓度升高而增加(图 1c,蓝色曲线):1.0 wt.% 时黏度仅为 718 mPa・s,纺丝时呈液滴状喷射;2.5 wt.% 时黏度高达 15220 mPa・s,会导致喷头堵塞。因此,综合纺丝可行性和流变学特性,纺丝溶液的最佳浓度范围为 1.5–2.0 wt.%。

图 1 纺丝参数对 CS-C/PEO 纤维膜性能的影响。a 固定浓度为 2 wt.% 时,不同 CS-C:PEO 比例纺丝溶液的黏度;b 固定 CS-C:PEO 比例为 3/7 时,不同浓度纺丝溶液的黏度;c 不同比例、不同浓度纺丝溶液的黏度变化曲线;d-f 不同 CS-C:PEO 比例纤维膜的纤维形貌及直径分布:d CS-C:PEO=3/7;e CS-C:PEO=5/5;f CS-C:PEO=7/3g CS-C、PEO 及 CS-C:PEO=7/3 纤维膜的红外光谱(FTIR);h 不同 CS-C:PEO 比例纤维膜的拉伸曲线;i 不同 CS-C:PEO 比例纤维膜在 0-15 s 内的水接触角。
CS-C/PEO/C-Hap(CP-CHap)杂化纤维膜(HFiMs)的制备与表征
本研究以乙醇和水为溶剂,实现了环境友好的制备过程,成功获得了形貌可控的全生物友好型 CS-C/PEO 纤维膜。然而,这类纤维膜易溶于水,且当壳聚糖含量较高(CS-C:PEO=7/3)时,其机械强度相对较低(1.87 MPa),无法满足防粘连纤维膜的力学性能要求。为解决这些局限性,本研究采用无机增强策略,将儿茶酚功能化羟基磷灰石(C-Hap)引入纤维基质中。选择 C-Hap 的核心原因在于其能释放钙离子,而钙离子可与儿茶酚基团发生配位作用,在纤维膜内部形成交联结构,进而同时提升水稳定性和机械强度(图 2a)。

图 2 借助 C-Hap 实现有机 - 无机杂化形成交联网络;a 纤维内部交联网络结构的示意图;b C-Hap 的 X 射线衍射(XRD)图谱;c C-Hap 与未改性 Hap 的 zeta 电位分析;d C-Hap 与未改性 Hap 的粒径分析;e 不同 C-Hap 含量(0 wt.%、2.5 wt.%、5.0 wt.%、10.0 wt.%)纺丝溶液的储能模量和损耗模量随时间的变化;f 不同 C-Hap 含量(0 wt.%、2.5 wt.%、5.0 wt.%、10.0 wt.%)纺丝溶液在剪切速率 0.1–100 1/s 下的黏度;g 蓝线:不同 C-Hap 含量纺丝溶液的溶胶 - 凝胶转变时间;橙线:不同 C-Hap 含量纺丝溶液的黏度变化。

图 3 CS-C/PEO/C-Hap 杂化纤维膜(HFiMs)的特性;a 纤维结构从 CP 膜向 CP-5.0% 杂化纤维膜(HFiMs)转变的示意图;b 含 5 wt.% C-Hap 的 CP-CHap 杂化纤维膜(HFiMs)的 EDS 元素 mapping 图;c 应力 - 应变曲线;d 拉伸强度与断裂伸长率;e 孔径分布f 0-15 s 内测得的接触角;g 不同 C-Hap 含量的 CP-CHap 杂化纤维膜(HFiMs)在乙醇中的溶胀率;h 本研究制备的 CP-CHap 杂化纤维膜(HFiMs)与其他已报道研究中材料的强度及断裂伸长率对比。
材料核心性能表征结果
1. 基础理化性能
机械强度:杂化纤维膜(HFiMs)拉伸强度可达 17.45 MPa(是纯 CP 膜的 9.3 倍),断裂伸长率 45.0%,远超现有壳聚糖基纤维膜,可适配肌腱力学载荷需求。
稳定性与降解性:水稳定性显著提升(不易溶解),在 PBS 溶液中 3 周降解率约(40±10)%,pH 维持稳定(7.40→7.22±0.02),实现可控降解。
表面与结构特性:接触角 < 80°(良好亲水性),纤维直径约 1.6 μm,形成交织网络结构,孔径可通过 C-Hap 含量调控,兼具润滑性(摩擦系数 0.15±0.12)与物理屏障功能。
2. 生物相容性与安全性
细胞相容性:与 NIH-3T3 成纤维细胞共培养时,细胞增殖正常,死细胞比例极低;溶血率 < 5%,符合生物医用材料标准。
抗菌性能:对革兰氏阳性菌(金黄色葡萄球菌)抗菌率达(99.0±1.0)%,对革兰氏阴性菌(大肠杆菌)达(61.7±3.1)%,源于 CS-C 的静电作用与儿茶酚基团的 redox 活性。
体内生物安全性:大鼠植入 3 周后,心、肝、脾、肺、肾等主要器官无形态异常,血清生化指标(ALT、AST、BUN 等)无显著差异,无明显异物反应。
3. 抗炎与防粘连功能
抗炎作用:可诱导巨噬细胞从促炎表型(iNOS⁺)向抗炎表型(CD206⁺)转化,显著降低 TNF-α 等促炎细胞因子分泌,提升 IL-10 等抗炎因子水平。
体外防粘连:抑制成纤维细胞黏附(CP-5.0% 组黏附面积较对照组减少 79%-82.9%),通过下调 Acta2、Col3a1 等纤维化基因,抑制 TGF-β1 诱导的肌成纤维细胞分化(α-SMA 与胶原蛋白 Ⅲ 表达显著降低)。
体内防粘连:在大鼠跟腱粘连模型中,术后 21 天粘连等级较对照组降低 62.5%,肌腱与周围组织形成清晰间隙,新生血管减少,且不影响肌腱固有愈合过程。

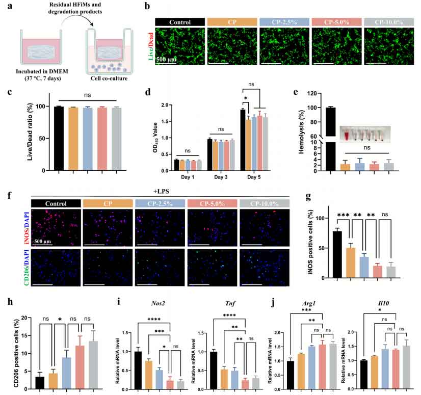
图4细胞毒性和炎症反应评价。a CP-CHap 杂化纤维膜(HFiMs)共培养体系的示意图;b NIH-3T3 细胞与 CP-CHap 杂化纤维膜共培养 3 天后的活/死染色代表性图像;c NIH-3T3 细胞活/死染色的定量分析(每组 n=5);d NIH-3T3 细胞与 CP-CHap 杂化纤维膜共培养 1、3、5 天后的增殖率(每组 n=3);e 不同 CP-CHap 杂化纤维膜的溶血率(每组 n=3);f 脂多糖(LPS)刺激后的 RAW 264.7 细胞与 CP-CHap 杂化纤维膜降解产物共培养 2 天后,诱导型一氧化氮合酶(iNOS,红色)和甘露糖受体(CD206,绿色)的免疫荧光染色代表性图像;g 诱导型一氧化氮合酶(iNOS)阳性率的定量分析(每组 n=5);h 甘露糖受体(CD206)阳性率的定量分析(每组 n=5);i、j 脂多糖(LPS)刺激后的 RAW 264.7 细胞与降解产物共培养后,促炎基因和抗炎相关基因的相对 mRNA 表达水平。

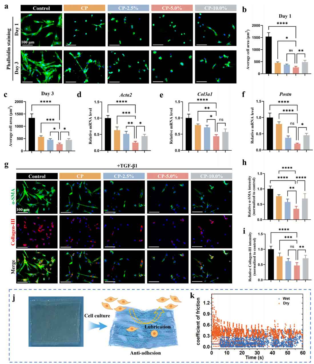
图 5 体外成纤维细胞黏附与活化评估。a 鬼笔环肽(phalloidin)染色观察 NIH-3T3 细胞与 CP-CHap 杂化纤维膜(HFiMs)共培养 1 天和 3 天后的细胞黏附情况(代表性图像);b、c NIH-3T3 细胞与 CP-CHap 杂化纤维膜共培养 1 天(b 图)和 3 天(c 图)后细胞黏附面积的定量分析(每组 n=5);d-f 纤维化相关基因(包括 Acta2、Col3a1、Postn)的相对 mRNA 表达水平(每组 n=3)g 转化生长因子 -β1(TGF-β1)刺激后的成纤维细胞与 CP-CHap 杂化纤维膜共培养 2 天后,α- 平滑肌肌动蛋白(α-SMA,绿色)和 Ⅲ 型胶原蛋白(collagen-Ⅲ,红色)的免疫荧光染色代表性图像;h、i 转化生长因子 -β1(TGF-β1)刺激后的成纤维细胞与 CP-CHap 杂化纤维膜共培养 2 天后,α- 平滑肌肌动蛋白(α-SMA,h 图)和 Ⅲ 型胶原蛋白(collagen-Ⅲ,i 图)相对表达水平的定量分析(每组 n=6)j CP-CHap 杂化纤维膜可抑制成纤维细胞铺展并阻止肌成纤维细胞过度活化;k CP-5.0% 杂化纤维膜在干燥状态和湿润状态下的摩擦系数。

图 6 CP-5.0% 膜植入对肌腱周围粘连的预防作用及愈合影响(每组 n=6)。a、b 术后 21 天修复部位肌腱周围粘连的大体观察评估(每组 n=6);c 对照组、CP 组及 CP-5.0% 组肌腱周围组织的苏木精 - 伊红(Hematoxylin–eosin, HE)染色;d 对照组、CP 组及 CP-5.0% 组肌腱周围组织的马松三色(Masson trichrome)染色(黄色线条标注粘连区域,绿色线条标注无粘连区域;S = 皮肤,M = 膜,T = 肌腱);e、f 肌腱组织的组织学评分;g 肌腱周围粘连组织中 Ⅲ 型胶原蛋白(collagen-Ⅲ)的免疫组织化学染色;h 肌腱周围粘连组织中 Ⅲ 型胶原蛋白(collagen-Ⅲ)表达的定量分析(每组 n=5)。

图7 CP-5.0% 杂化纤维膜(HFiM)通过 Wnt5a 驱动的信号通路抑制肌成纤维细胞活化。a 肌腱周围组织中 α- 平滑肌肌动蛋白(α-SMA)的免疫荧光染色及 b 定量分析(每组 n=6)(S = 皮肤,M = 膜,T = 肌腱);c 肌腱周围组织中 Wnt5a(红色)在 S100a4 阳性细胞(绿色)中的表达免疫荧光染色及 d 定量分析(每组 n=6);e-h α- 平滑肌肌动蛋白(α-SMA)、Wnt5a 及 Ⅲ 型胶原蛋白(collagen-Ⅲ)的蛋白表达水平(每组 n=6);i CP-5.0% 杂化纤维膜(HFiM)通过减少肌成纤维细胞活化及纤维化进程以预防肌腱粘连的机制示意图。

图8 功能恢复与生物力学性能评估。a 对照组、CP 组及 CP-5.0% 组的代表性步态模式及对应热图;b–e 平均接触面积、压力值、步长及步宽的定量分析(每组 n=9);f–i 各组修复后肌腱样本的刚度、最大拉伸载荷、最大拉伸应力及弹性模量的定量分析(每组 n=6)。
应用前景与结论
1. 核心结论
该研究成功开发出 CS-C/PEO/C-Hap 杂化纤维膜(HFiMs),通过绿色制备策略,实现了 “高机械强度、可控降解、全生物友好、明确作用机制” 的综合优势,在体外与体内实验中均展现出优异的肌腱防粘连效果,且生物安全性高,不影响肌腱功能恢复。
2. 应用前景
临床应用:可作为术后防粘连屏障,用于肌腱修复、腹腔手术等场景,降低粘连并发症发生率;
技术延伸:为生物基防粘连材料的绿色制备提供范式,可拓展至皮肤创面修复、软骨再生等再生医学领域。
3. 研究价值
不仅解决了现有防粘连膜的核心技术瓶颈,还明确了 Wnt5a-Itgav 通路的调控作用,为防粘连治疗提供了 “材料 + 机制” 的双重解决方案,具有重要的临床转化潜力与学术参考价值。
原文链接:https://doi.org/10.1007/s42765-025-00649-z